De tre hyppigst forekommende formene for nyrekreft er klarcellet nyrecellekarsinom (60–75 %), papillært nyrecellekarsinom (13–20 %), som ikke lenger deles inn i type 1 og 2, og kromofobt nyrecellekarsinom (5-7 %).
Histologisk er klarcellet nyrecellekarsinom kjennetegnet av tumorceller med i hovedsak klart, iblant eosinofilt, cytoplasma ledsaget av et tett nettverk av blodkar. Papillært nyrecellekarsinom er karakterisert av papillær og tubulopapillær arkitektur. Kromofobt nyrecellekarsinom er bygget opp av store, bleke og/eller mindre eosinofile tumorceller med skrumpne kjerner og perinukleære haloer.
Av de mer uvanlige subtypene for nyrecellekarsinom finner vi translokasjonskarsinom og andre molekylært definerte nyrecellekarsinom, arvelige subtyper, cystiske subtyper og ikke klassifiserbare nyrecellekarsinom.
Samlerørskarsinom (collecting duct carcinoma) utgjør en meget liten gruppe av de uvanlige subtypene for nyrecellekarsinom, < 0,5 %, men er svært aggressive svulster assosiert med dårlig prognose.
Det tidligere Fuhrman graderingssystemet er erstattet av det såkalte WHO/ISUP graderingssystemet. WHO/ ISUP graderingssystemet er validert for klarcellet og papillært nyrecellekarsinom, og brukes ikke ved de øvrige subtypene (Moch et al., 2016).

Figur gjengitt fra Delahunt et al. (2013). Copyright 2013 Wolters Kluwer. Gjengitt med tillatelse 2025.
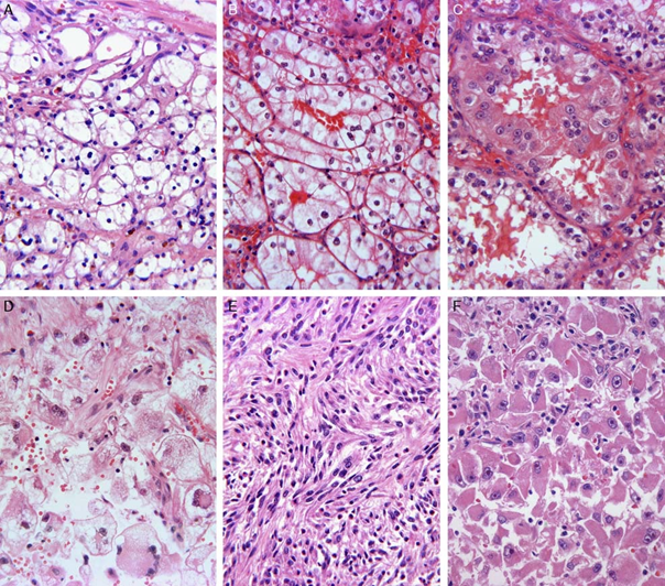
- Grad 1: Nukleoli er lite iøynefallende eller fraværende ved 400x forstørrelse.
- Grad 2: Nukleoli er lett synlige ved 400x forstørrelse, men ikke prominente.
- Grad 3: Nukleoli er prominente og lett synlige ved 100x forstørrelse.
- Grad 4: Tilstedeværelse av «Tumor giant cells» og/eller markert kjernepleomorfi.
- Grad 4: Sarkomatoid karsinom.
- Grad 4: Karsinom med rhabdoid differensiering
Flere ulike benigne nyresvulster er også inkludert i WHO-klassifikasjonen. En av de mest hyppig forekommende benigne nyresvulstene er papillært adenom. Papillære adenom oppstår vanligvis kortikalt. De viser papillær, tubulær eller tubulopapillær morfologi, og skiller seg fra papillære nyrecellekarsinom ved at de mangler bindevevskapsel og at størrelsen er under eller lik 15 mm (Moch et al., 2016).
Onkocytom er en annen hyppig forekommende benign nyresvulst. Histologisk kan det være vanskelig å skille mellom onkocytom og kromofobt nyrecellekarsinom, spesielt på nålebiopsier. Det er vist at diagnosen onkocytom stilt på nålebiopsi opprettholdes kun i 64,6 % av tilfellene etter kirurgi (Patel et al., 2017). I praksis er det derfor anbefalt å angi onkocytær tumor som diagnose på nålebiopsier, og så legge til en kommentar om at bildet er forenlig med onkocytom gitt at materialet er representativt for hele lesjonen (EAU sine retningslinjer avsnitt 5.3).